
Enabling earlier intervention through faster and more accurate detection.
Lung cancer is the leading cause of cancer-related deaths worldwide.
If 100 people are diagnosed with lung cancer at Stage IV…
…just 5 of these people will be alive 5 years later.
If those same 100 people are diagnosed at Stage I…
…65 will still be alive 5 years later.
Earlier detection means better survival.
Earlier
detection
37%
Supporting faster time to diagnosis and treatment.
- Flag patients with urgent suspected cancer within the radiology worklist for prioritised next steps.
- Cases are automatically analysed as soon as they are acquired, with AI results available within seconds.
- Prioritisation labels can be leveraged for more efficient AI-optimised care pathways.
See more. Miss less.
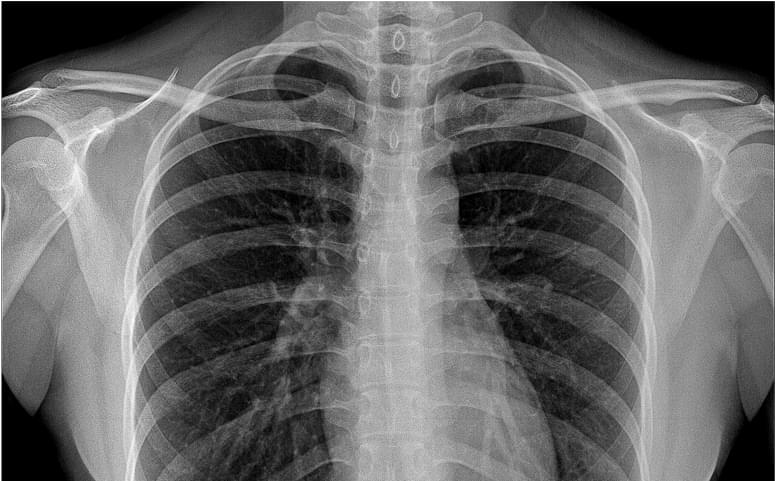
Chest X-rays are a routine first-line diagnostic test in both acute and outpatient care. Harrison.ai chest X-ray (CXR) helps identify incidental cancers, enabling crucial early detection and intervention.
- Identify up to 124 findings on chest X-ray.
- Including 10 findings related to cancer.
Clinical decision-support for complications from treatment
Cancer treatments, including chemotherapy, immunotherapy and radiation, can cause acute or chronic side effects, that may require clinical management, such as sepsis, congestive heart failure (CHF) and vertebral compression fracture (VFF).
- Leverage comprehensive AI tools to detect a wide range of findings on CXR, including sepsis, CHF and VFF to accelerate the care pathway.
“The proportion of people with lung cancer meeting the 62-day treatment target increased from 52% to 100%. This means more people with lung cancer will get an early diagnosis.”
Discover radiology products.
Contact our sales team for a consultation on how we could drive clinical and ROI for your organisation.
