
Imagine having a team of world-class radiologists working alongside you.
That’s what it’s like to have Harrison.ai’s radiology solutions integrated into your workflow. While you go about your work, our tools will be triaging your patients, double-checking medical images and drafting your radiology reports.
Supporting faster time to diagnosis and treatment.
Catch more. Miss less.
Improve operational efficiency and productivity.
Discover radiology products.

Introducing Harrison.ai Open Platform.
Zero-markup access to Medical Imaging AI and Third-Party Algorithms.
Why clinical leaders, hospital administrators, IT and cybersecurity teams choose Harrison.ai.
Comprehensive
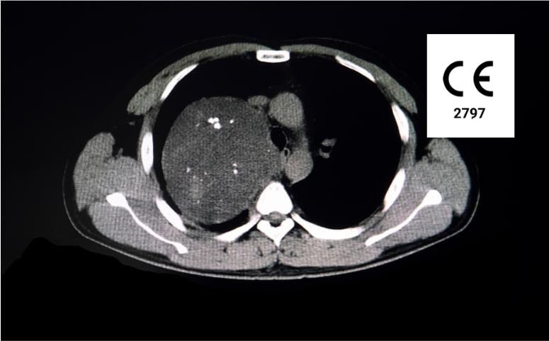
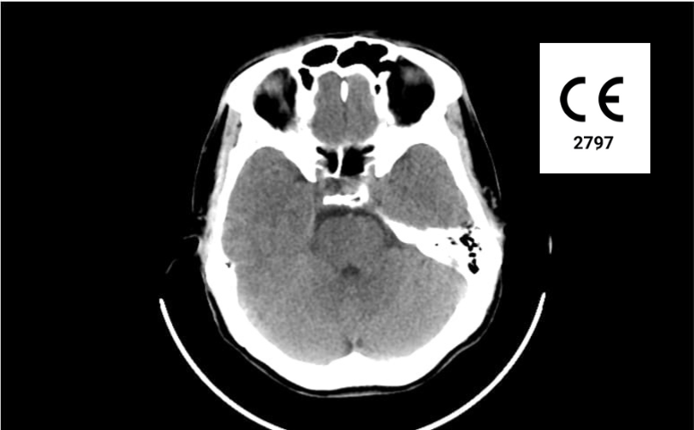
- Some of the world’s most comprehensive radiology AI solutions for CXR (124 findings) and CT Brain (130 findings).
Transparent intelligence
- Explainable AI features such as localisation and a confidence bar to improve AI interpretability and clinical decision making.
Outstanding accuracy
- Owing to large training data and hand-labelled data sets by +140 radiologists (> 229,000 unique CTB studies and >782,000 unique CXR studies).
Evidence-based
- AI solutions backed by independently validated, peer-reviewed evidence. View evidence.
Seamless integration
- Fully integrated into the existing clinical workflow, with a user-friendly, ‘no click’ Viewer.
Adopted globally
- Across four continents and over 1,000 sites.
Evidence-based
- AI solutions backed by independently validated, peer-reviewed evidence. View evidence.
Outstanding accuracy
- Owing to large training data and hand-labelled data sets by +140 radiologists (> 229,000 unique CTB studies and >782,000 unique CXR studies).
Seamless integration
- Fully integrated into the existing clinical workflow, with a user-friendly, ‘no click’ Viewer.
Adopted globally
- Across four continents and over 1,000 sites.
Evidence-based
- AI solutions backed by independently validated, peer-reviewed evidence. View evidence.
Outstanding accuracy
- Owing to large training data and hand-labelled data sets by +140 radiologists (> 229,000 unique CTB studies and >782,000 unique CXR studies).
Seamless integration
- Fully integrated into the existing clinical workflow, with a user-friendly, ‘no click’ Viewer.
More time for clinicians, means more time for patients.
Time navigating between multiple platforms is time taken away from patient care. Our solutions are:
- Seamlessly integrated into your existing clinical workflow launched from your RIS/PACS.
- Easy to use and understand with a ‘no click’ Viewer displaying AI findings packed with time-saving features.
- Consistent across modalities reducing time taken to learn and navigate multiple cobbled-together, single-point solutions.
Uncompromising commitment to quality.
AI performance is often described as ‘rubbish in, rubbish out’ and we agree. At Harrison.ai we’re known for building AI the right way, not the easy way.
Large training data set
Robust validation
No shortcuts
Integrated with leading PACS providers
Ready to explore how radiology AI solutions could drive clinical and financial outcomes for your healthcare organisation?
By your side, from every side of the globe.
We’re not satisfied with just developing high performing solutions. We develop collaborative partnerships that extend beyond initial deployment to support value creation.