Harrison.ai CT Chest – the Future of Chest CT Interpretation
Comprehensive coverage in a single solution.
At Launch Day 2025, we announced Harrison.ai CT Chest, a comprehensive AI solution designed to tackle the growing workload pressures facing radiologists. Instead of a single streamlined workflow, clinicians are often forced to move between multiple point solutions, creating unnecessary friction and complexity.
“Every radiologist here knows this truth. You’re reading more CT chest studies than ever before. Workload keeps climbing. Teams are stretched thinner. And you need tools that actually work, not promises,” explained Ben Austin, Chief Product Officer at Harrison.ai.
“This is radiology AI done right. Not another point solution. Not another algorithm to manage. Harrison is transforming how you read every chest CT that crosses your workstation.”
What does comprehensive AI look like?
Watch how Harrison.ai CT Chest helps radiologists detect critical and subtle findings, all in one seamless workflow.
Disclaimer: This video is intended exclusively for healthcare professionals. The products shown in the video are not available for purchase by the general public and are intended for professional use only.
All information subject to terms and conditions, regulatory requirements, regional clearance and availability, technical specifications, and deployment conditions. Subject to change without notice.
Explore Harrison.ai CT Chest.

Seeing Comprehensive AI in Action
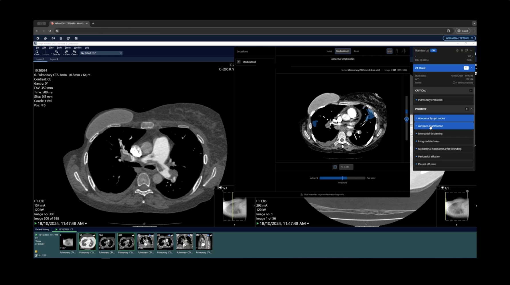
Ben explains, “Harrison.ai CT Chest is the comprehensive CT chest solution clinicians have been asking for. 167 radiological features, including life-threatening conditions, tumours, and chronic diseases, are covered in a single seamless workflow. All findings are detected, measured, and characterised automatically using the same intuitive interface you already trust with our CXR and CTB solutions.”
To demonstrate Harrison.ai CT Chest in practice, Dr. Jennifer Tang, Clinical AI Consultant at Harrison.ai, walks through real clinical cases:
- Case 1: A 67-year-old female presenting with acute shortness of breath. The AI immediately identifies a central and peripheral pulmonary embolism, along with airspace opacification, pericardial and pleural effusion. Even more impressive is the ability to go further, picking up the sclerotic spine lesion, potentially representing metastasis.
- Case 2: A 50-year-old patient with fever undergoing a routine chest-abdomen-pelvis scan. The AI detects a subtle right lower lobe pulmonary embolus, which is easily missed during a standard infection workup, alongside coronary calcification.
- Case 3: A 73-year-old with chest pain and prior aortic surgery. The AI flags a dissection, bilateral pleural effusions, an underlying aortic aneurysm, and a right subclavian pseudo aneurysm.
Taken together, these cases illustrate what comprehensive coverage looks like with CT Chest – a single solution surfacing both the expected findings and those that are easy to overlook. As Dr. Tang described, it means detecting “the obvious critical findings, but also the hidden time bombs.”
![]()
Why This Matters
With CT Chest, radiologists no longer need to juggle multiple solutions or worry about coverage gaps. Comprehensive AI ensures that critical and incidental findings alike are detected – improving patient care, and workflow efficiency.
“So there you have it, one comprehensive solution. Harrison.ai CT Chest… No more wondering what you might’ve missed. The future of CT chest interpretation. Because when it comes to your patients, comprehensive isn’t optional. It’s essential,” Ben concluded.
See the power of Harrison.ai CT Chest in action, book a meeting with our team to explore how comprehensive AI can enhance your radiology workflow.